
文献核心观点与精要快速阅览:
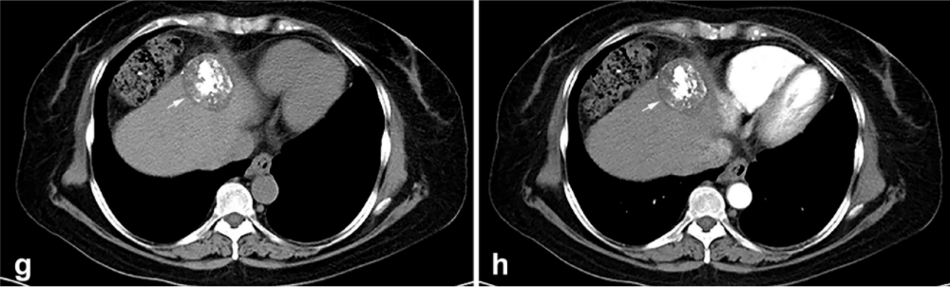
① 基于热消融治疗边缘显示、肝包膜破裂与毗邻脏器损伤、膈肌热损伤的三个问题,冷冻消融治疗毗邻膈肌肿瘤的回顾性评价
② 老年HCC患者更高比例无法使用传统手术,冷冻消融VS射频消融中的一些治疗优势(RCT)
③ 冷冻消融可以帮助提供高危部位(不可切除)肝癌的操作精细度,关于安全性、可行性和有效性的探讨
01
基于热消融治疗边缘显示、肝包膜破裂与毗邻脏器损伤、膈肌热损伤的三个问题,冷冻消融治疗毗邻膈肌肿瘤的回顾性评价

J Vasc Interv Radiol. 2020 Mar;31(3):393-400.e1. | IF: 3.682
背景:由于一些原因,位于膈肌附近的肿瘤的热消融在技术上具有挑战性。首先,术中计算机扫描和超声检查无法清晰显示射频消融/微波消融切缘。第二,消融过程中不利的针分布和过热可能导致肝包膜破裂,并对膈、肺和心脏造成严重损伤。第三,即使使用人工腹水,仍有9~22%的患者因肝周粘连或肿瘤位置靠近肝表面而导致膈肌热损伤。冷冻消融可能是毗邻膈肌的HCC的一种有前途的治疗方法,因为在消融过程中使用CT和US可以很好地显示肿瘤边缘。尽管一些研究评估了在高危区域使用冷冻消融治疗HCC,但很少有研究针对膈肌临近区域。
部分结果:
① 术后 1 月肿瘤治疗反应:冷冻消融术后一个月肿瘤疾病控制率达95.9%。


③ 总生存曲线和局部肿瘤进展曲线:冷冻消融后中位生存时间为 27.3 个月,中位局部肿瘤进展时间为 20.9 个月。

02
老年HCC患者更高比例无法使用传统手术,冷冻消融VS射频消融中的一些治疗优势(RCT)

Liver International. 2022 Apr;42(4):918-929. | IF: 8.754

② 无肿瘤生存曲线和总生存曲线

③ 局部肿瘤进展率曲线和直径>3 cm病灶局部肿瘤进展率曲线

03
冷冻消融可以帮助提供高危部位(不可切除)肝癌的操作精细度,关于安全性、可行性和有效性的探讨

Quant Imaging Med Surg. 2019 Dec;9(12):1948-1957. | IF: 4.630
背景:肝癌是中国最常见的恶性肿瘤之一,发病率和死亡率都很高。虽然手术切除是最好的治疗方法,但大多数患者处于晚期或直到住院才有手术指征。对于单个肿瘤直径小于5厘米的患者,微创治疗与手术切除效果相当;多个病灶小于3个,单个病灶最大直径小于3cm;不侵犯血管、胆管、邻近器官和远处转移。虽然一些传统消融技术方式可以使部分患者受益,但不适用于特殊部位肝癌(定义为毗邻大血管、肝外脏器和重要结构的肿瘤)的治疗。冷冻消融作为一种相对较新的治疗方式,具有明显的冰球效果、疗效好、激活抗肿瘤免疫、并发症发生率低等优点,尤其适用于特殊部位肝癌患者的治疗。我们的研究目的是探讨CA治疗特殊部位肝癌的安全性、可行性和有效性。
部分结果:
① 在我们的研究中,技术成功率为100%。动态增强MR检查随访1个月,66例患者首次技术有效率为65例(98.5%),MR影像学未发现外周脏器损伤。中位随访时间14个月(范围2-28个月)。高危部位肝癌局部肿瘤进展率曲线:6、9、15和24个月的累积局部肿瘤进展率分别为10.2%、16.5%、20.9%和30.5%。


